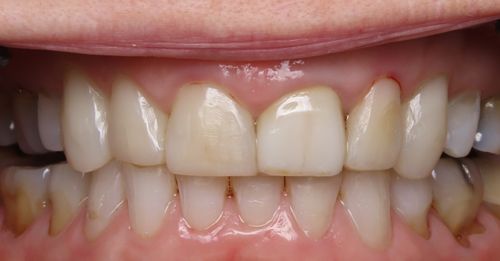
All the below examples are one of myriad cosmetic outcomes from Dr. Greenslade's portfolio of work. These are lab quality photographs - meaning no filters, alterations, "photoshop," or adjustments have been made. These are real cosmetic outcomes from actual patient's from Dr. Greenslade's practice.
Many patients step into Honor Dental with a desire for cosmetic dentistry. Others are looking to repair damage and get their oral health back on track. Seeing these individuals walk out of our doors with a strong smile and newfound confidence is the reason behind our mission here at Honor Dental. No matter your cosmetic goals, we’re honored to be a part of your oral health journey. Take a look at our Before & After gallery to explore real patient stories!


Here we have an example of patients with traumatic injury of a front incisor. Dr. Greenslade has extensive training in cosmetically restoring these problems conservatively with composite resin-filling material. Dr. Greenslade uses his knowledge of value, hue, and chroma to achieve a chameleon-like effect so the restoration seamlessly transitions from tooth to filling without any notable delineation between the two.


This was another fun case Dr. Greenslade had the pleasure of working on. The patient was thrilled with the improved cosmetic outcome and restored functionality. Upper teeth were missing, and lower front teeth had severe wear, with some lower back teeth missing.
With Advanced Periodontics and Implants, upper jaw implants were placed, and Dr. Greenslade created an implant denture that "snaps" onto these implants. Lower front teeth were restored with composite resin, two crowns, and a partial denture, ensuring a complete set of upper and lower teeth. Dr. Greenslade's expertise shines in achieving both function and cosmetics. He thoroughly enjoys the process of planning and coordinating treatment with his patients and the surgeons at Advanced Periodontics and Implants.


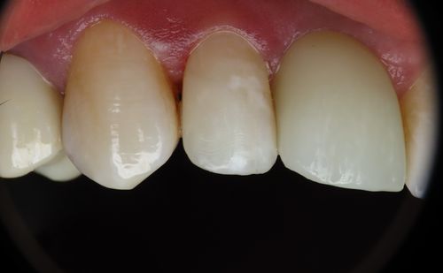
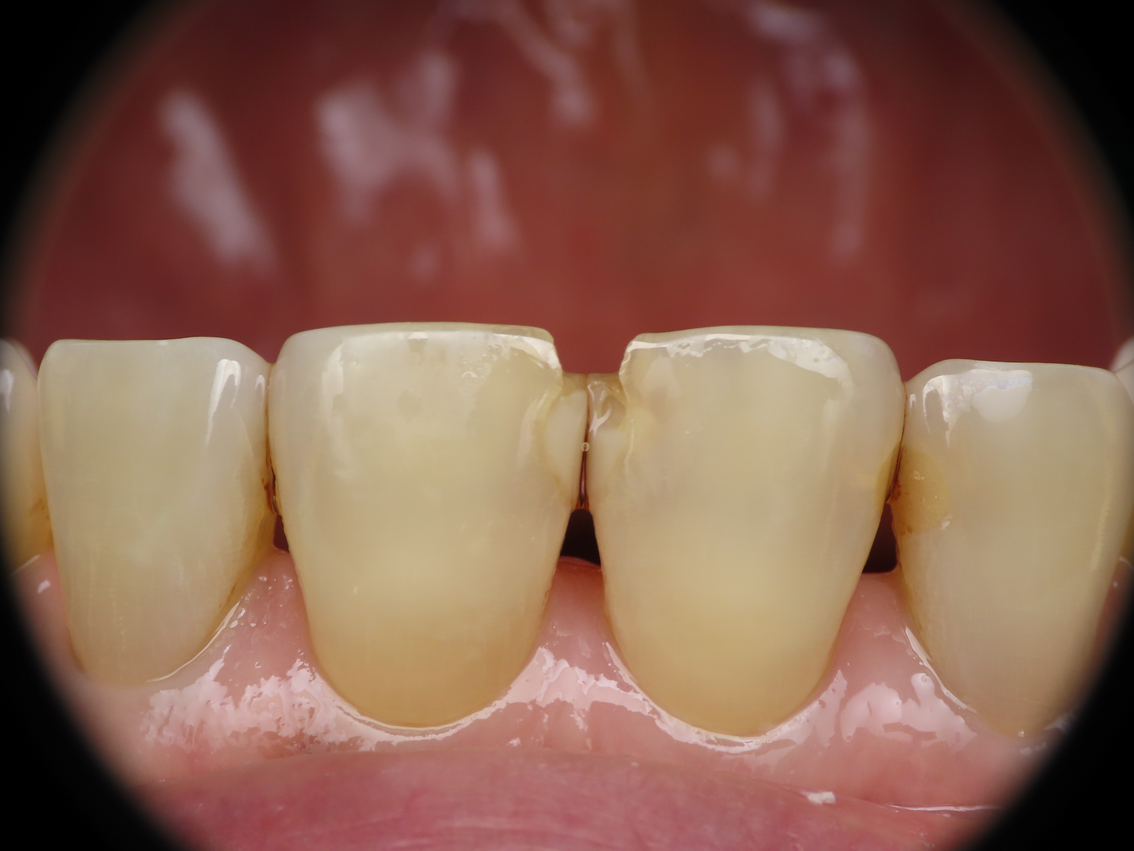
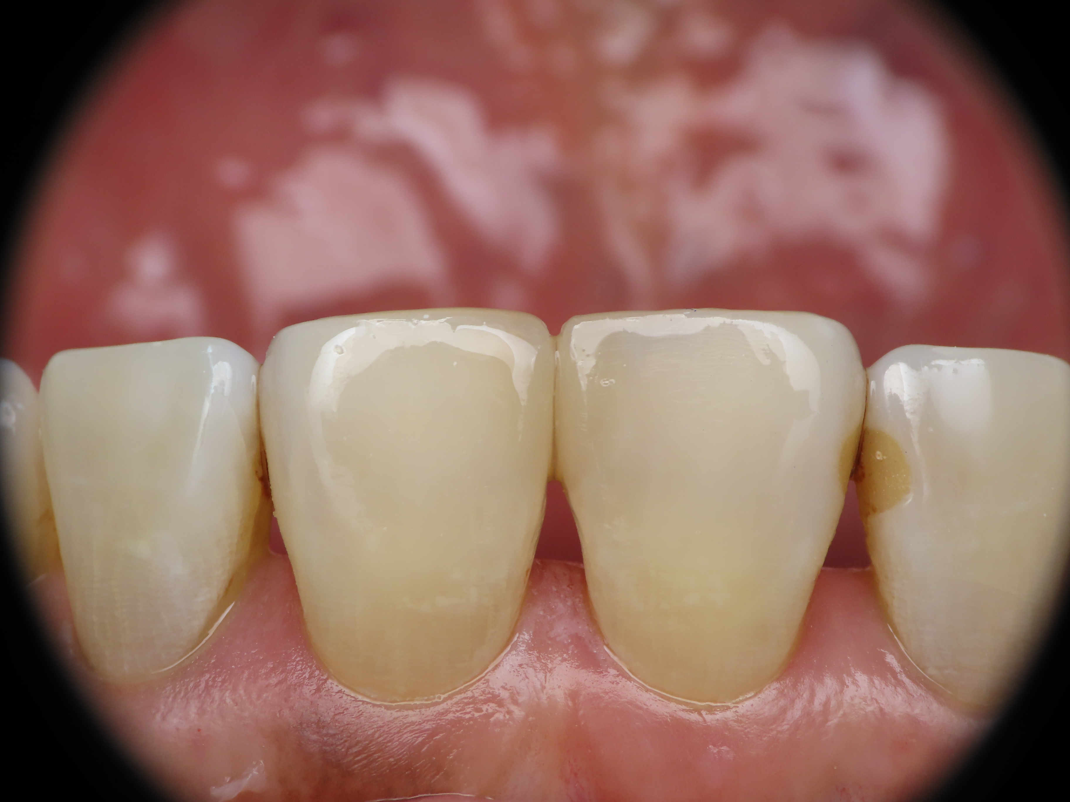
This is the beauty of conservative cosmetic treatment. This patient wanted to restore the wear and retain the crown she had on her front tooth. Rather than placing crowns and removing more tooth structure Dr. Greenslade advised on restoring the teeth with composite a far more conservative and very beautiful cosmetic result. Too much of cosmetic dentistry is focused on removing tooth structure - but why not save tooth structure when you can get just as nice of a result?


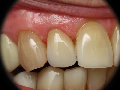
This central incisor has been given a new lease on life with a meticulously crafted implant crown. Take a moment to appreciate the seamless shade match and the life-like 'emergence profile' skillfully achieved by Dr. Greenslade and his lab, resulting in a stunningly natural and cosmetically pleasing outcome.


This case was an absolute delight for Dr. Greenslade, not only for the stunning results but also for the fantastic patient involved.
Faced with severe erosion and wear on the patient's teeth, the traditional solution of crowns and veneers wouldn't suffice. Dr. Greenslade's plan? Restoring all 24 teeth with composite resin fillings.
This innovative approach preserved vital tooth structure, ensuring long-term functionality and strength at a fraction of the cost of crowns and veneers. Dr. Greenslade's extensive training in tackling complex restorative cases allowed him to think creatively, providing a tailored solution that guarantees predictable and exceptional outcomes.


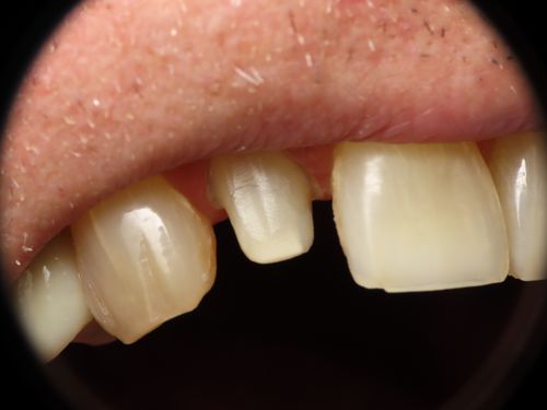
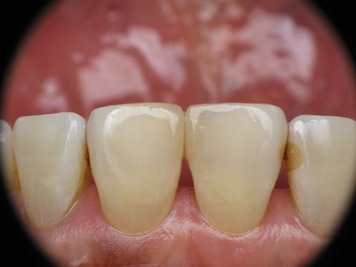
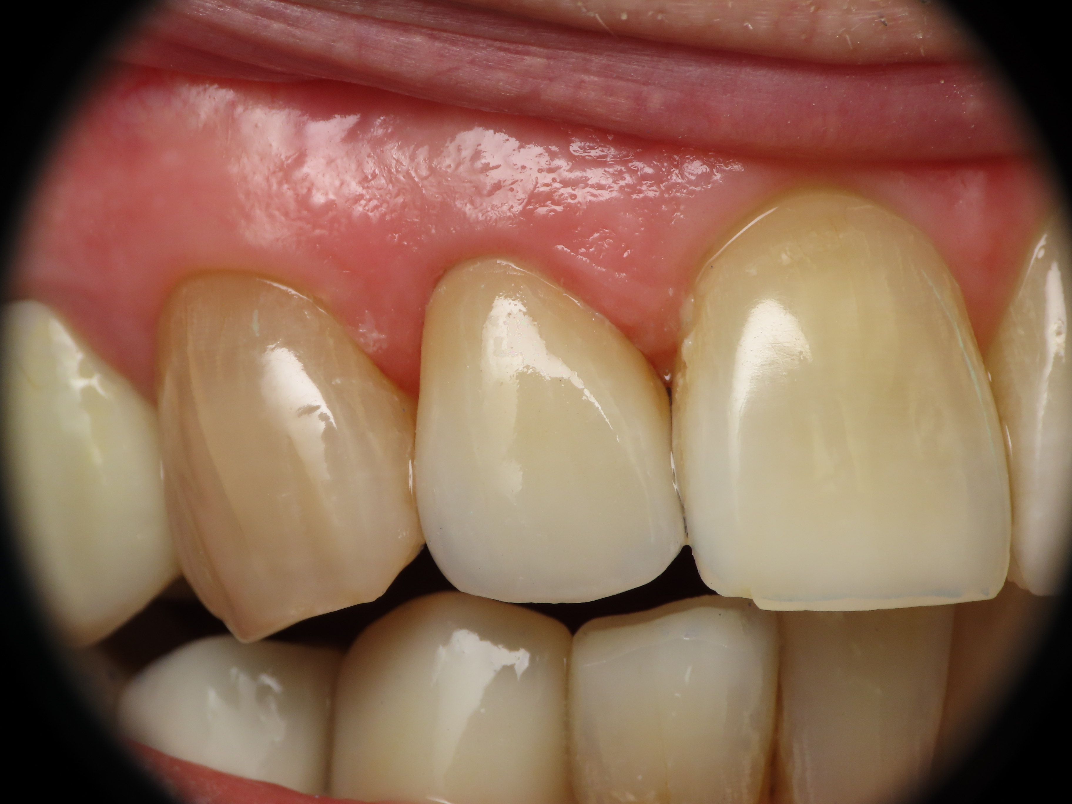
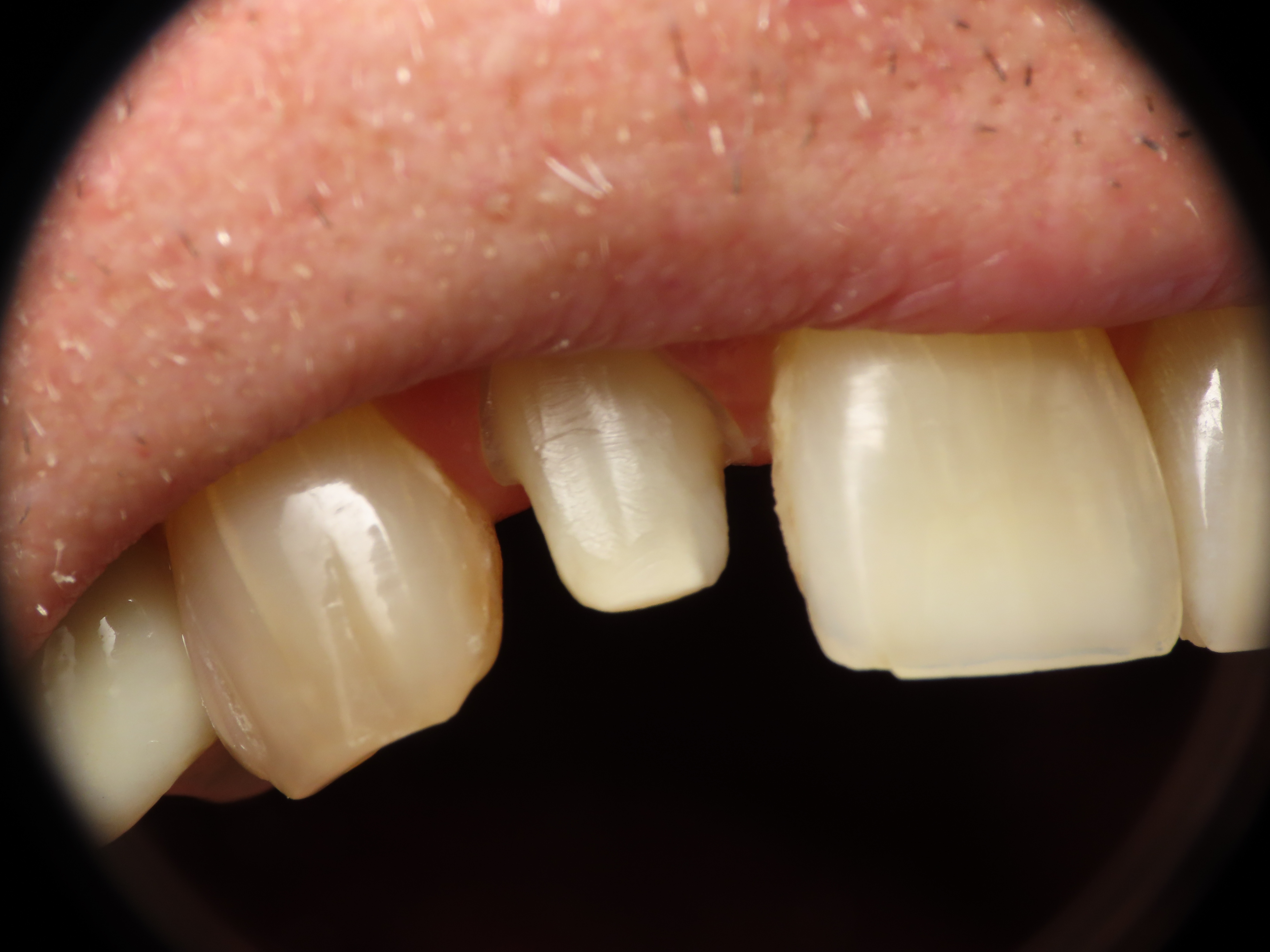
Dr. Greenslade worked with a beautiful young lady to help replace and perfect two composite resin fillings she had placed after an accident as a child. The previous composites were rushed and time wasn't taken to properly shade match to her teeth. Dr. Greenslade provided a beautiful cosmetic outcome utilizing 2 shades of composite in 3 translucencies, in combination with 3 different opaquing agents (8 different materials!) to provide a seamless outcome. The patient was THRILLED! This is what attention to detail and a no hurried approach looks like.


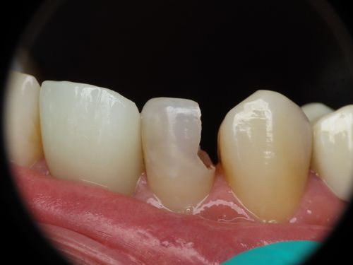
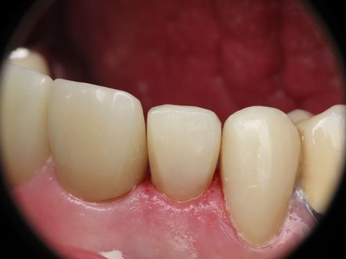
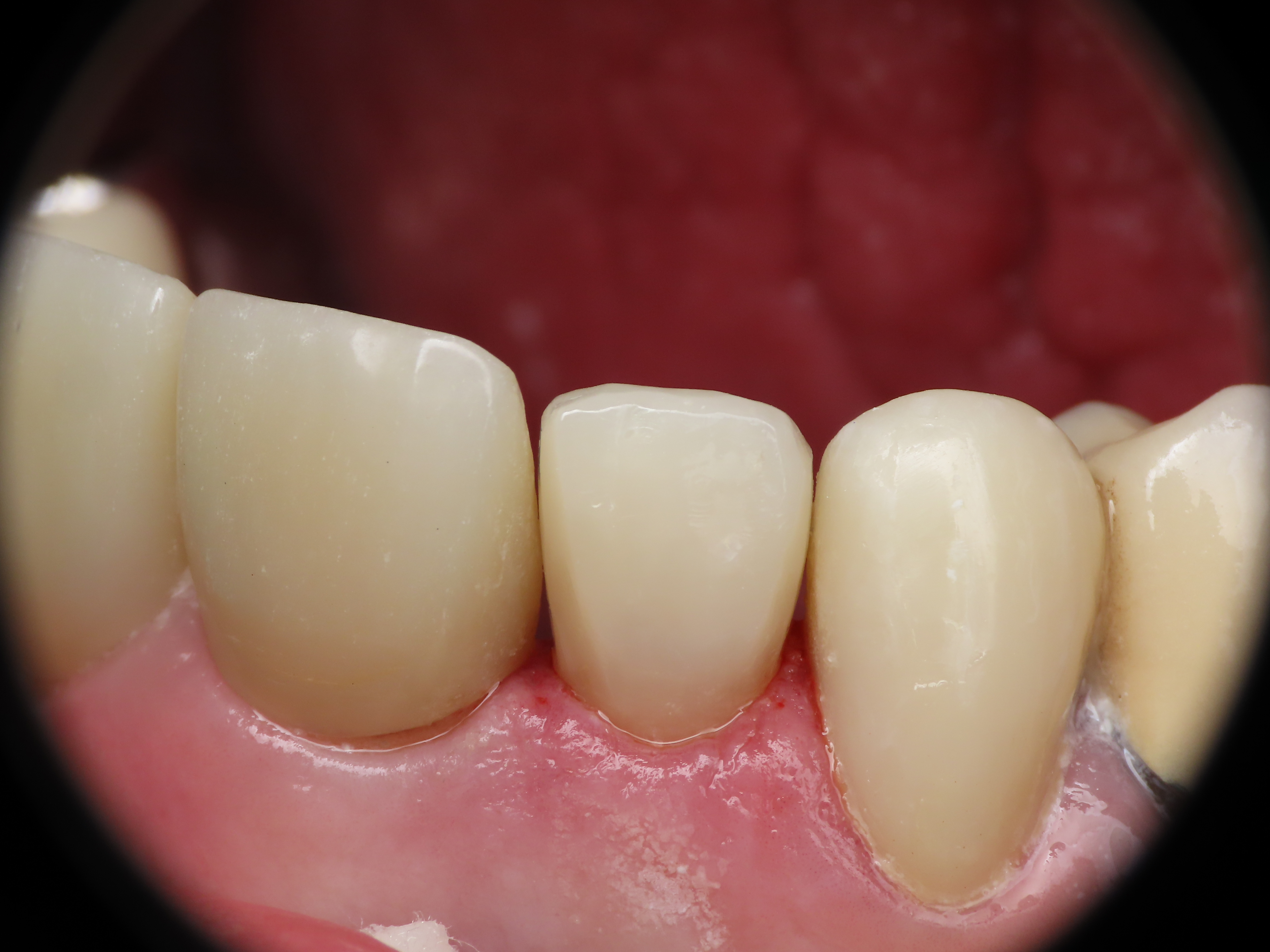
An example of a tooth with decay that was restored back to it's natural beauty. This included two different shades in two different translucencies and 3 opaquing agents. Dr. Greenslade has spent countless hours perfecting his technique in making fillings disappear on front teeth. A beautiful cosmetic result!


.jpg)



Caption coming soon!


Caption coming soon!
.avif)
.avif)
Caption coming soon!


Caption coming soon!


Caption coming soon!


Caption coming soon!


Caption coming soon!


Caption coming soon!
Imagine seeing your own smile transformation featured in our gallery. At Honor Dental, we take pride in delivering life-changing results, and you can be our next success story! Schedule a consultation today to start your journey towards a brighter, more confident smile. Let’s create your before and after masterpiece together!
